多做题,通过考试没问题!
CT医师大型医用设备上岗证
睦霖题库
>
大型设备上岗证
>
CT医师大型医用设备上岗证
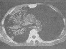
患者男,28岁,咯血伴盗汗1个月,CT如图,最可能的诊断为()。
A、干酪性肺炎
B、大叶性肺炎
C、过敏性肺炎
D、肺不张
E、肺泡细胞癌
正确答案:
A
答案解析:
有
进入题库查看解析
微信扫一扫手机做题
最热试题
·
颅脑试题2
·
胸部试题5
·
腹部试题4
·
物理基础和仪器设备试题3
·
颅脑试题5
·
呼吸、循环系统试题3
·
颅脑试题1
·
胸部试题3
·
五官和颈试题1
·
呼吸、循环系统试题1
最新试题
·
下列征象不支持纵隔肿瘤的诊断的是()。
·
哪一种体位可以使椎管狭窄程度减轻:()
·
关于正常腮腺CT平扫表现的描述,错误的是:()
·
在窦汇上方的层面,幕切迹的边缘显示为:()
·
一般脑血肿多少天后可以进入低密度期:()
·
患者,女,26岁,端坐呼吸、乏力、腹胀,心音遥远,胸部正侧位摄
·
CT显示颈椎横突孔骨折,提示可能有:()
·
结合肺段模式图,选出右肺中叶的组成()。
CT检查肝脏中心纤维瘢痕表现为辐条样自中心向外辐射,见于:()
·
下面关于脑室系统的正确描述是:()