多做题,通过考试没问题!
CT医师大型医用设备上岗证
睦霖题库
>
大型设备上岗证
>
CT医师大型医用设备上岗证
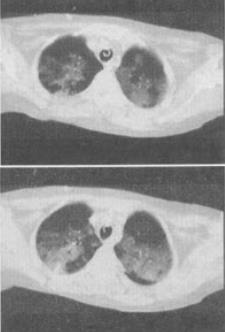
患者男,32岁,干咳,呼吸困难半月余,2个月前被诊断为艾滋病,结合影像学检查,最可能的诊断是()。
A、肺结核
B、卡氏肺囊虫性肺炎
C、肺癌
D、大叶性肺炎
E、间质性肺炎
正确答案:
B
答案解析:
有
进入题库查看解析
微信扫一扫手机做题
最热试题
·
胸部试题1
·
盆腔试题2
·
颅脑试题3
·
脊柱试题2
·
腹部试题6
·
腹部试题5
·
呼吸、循环系统试题3
·
盆腔试题1
·
物理基础和仪器设备试题1
·
呼吸、循环系统试题4
最新试题
·
肿块最大上下径在纵隔内,基底部宽,其外缘与纵隔的交角呈钝角,
·
CT检测脂肪肝最适合的方法是:()
·
肺脓肿特征性X线征象包括()。
·
下列关于颅咽管瘤病理的描述,不正确的是:()
·
前列腺癌外侵及转移最不容易波及的脏器是:()
·
"隐性"脑血管畸形是指下述哪一种:()
·
骨质破坏的基本X线表现是:()
·
胰腺钩突前面,CT显示两个血管断面,应是:()
·
成人肠套叠中最常见的原因是:()
·
额顶叶的分界为:()