多做题,通过考试没问题!
甘肃住院医师急诊科
睦霖题库
>
甘肃住院医师
>
甘肃住院医师急诊科
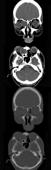
女性38岁,右侧眼球运动障碍伴眼球突出4个多月,CT扫描如图,请选择正确的描述和答案()
A、右侧筛窦内可见囊性肿块影,边缘光整
B、囊性肿块向右侧眼眶内突入,压迫内直肌
C、右侧眶内壁呈受压变薄、断裂
D、考虑为右侧筛窦黏液囊肿
E、考虑为筛窦癌
正确答案:
A,B,C,D
答案解析:
有
进入题库查看解析
微信扫一扫手机做题
最新试题
·
患者,男性,30岁,因“右眼被铁屑击入1
·
试述慢性化脓性中耳炎的特点及其临床分型。
·
关于鼻出血处理,哪项有误()
·
某女性患者,62岁,左眼突然视力下降2个
·
脉络膜血管瘤可导致()
·
视网膜中央静脉阻塞的典型出血方式是()
·
关于胆脂瘤命名有误的是()
·
男性,32岁,4天前,用锤子敲打石头时右
·
需与大疱性鼓膜炎相鉴别的疾病是()
·
虹膜轻度萎缩,角膜内皮异常,角膜水肿,眼
热门试题
·
新生血管性青光眼常继发于下列疾病()
·
Rb需与哪些疾病鉴别诊断()
·
眼球钝挫伤合并合并眼内出血属于()
·
患者,男,45岁,农民,右眼被谷粒击伤后
·
眼底黄斑萎缩性病变呈牛眼状()
·
正常24小时眼压波动范围()
·
一般可以选择治疗哪些具有危险因素的高眼压
·
典型脉络膜新生血管的FFA形态表现正确的
·
我国各地调查发现,有多少盲和视力损害是可
·
患者男,45岁,石灰溅入右眼后眼痛、视力