多做题,通过考试没问题!
河南住院医师放射肿瘤科
睦霖题库
>
河南住院医师
>
河南住院医师放射肿瘤科
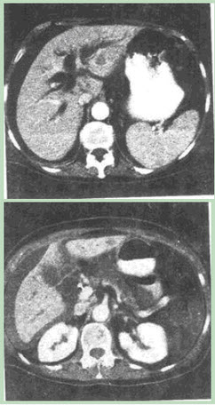
患者男性,49岁,反复腹痛,进行性黄疸月余,CT图像如下,最有可能的诊断是()。
A、肾癌
B、胆管癌
C、胰头癌
D、肝癌
E、淋巴瘤
正确答案:
C
答案解析:
有
进入题库查看解析
微信扫一扫手机做题
最新试题
·
不可行根治性肝切除的情况是()。
·
患者女性,65岁,皮肤、巩膜黄染30天,
·
患者女性,65岁,反复腹痛,腹泻3月余,
·
男性,42岁,上腹烧灼样痛半年,近一周排
·
原发性肝癌按大体形态分型下述错误的是()
·
除原发性肝癌,哪种疾病能引起AFP>50
·
患者男性,44岁,右上腹疼痛半年,加重伴
·
剖腹探查发现胃癌已广泛转移应行()。
·
患者女性,65岁,皮肤、巩膜黄染30天,
·
可以诊断肝细胞癌()
热门试题
·
梗阻部位在肝总管或以上()。
·
原发性肝癌肝外血行转移最常见于下列哪个部
·
患者男性,69岁,进行性腹痛腹胀月余,X
·
患者男性,54岁,体检发现肝脏占位,MR
·
下列不是晚期食管癌的临床表现的是()。
·
患者男,45岁。发热、乏力伴消瘦2个月,
·
男,50岁,嗜酒吸烟,近3周来出现吞咽时
·
男,60岁,吞咽困难3个月,食管镜检报告
·
关于胃癌,下列叙述错误的是()。
·
提高胃癌治愈的关键在于()。