多做题,通过考试没问题!
四川住院医师放射科
睦霖题库
>
四川住院医师
>
四川住院医师放射科
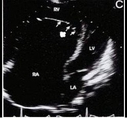
如图三尖瓣病例最可能的诊断
A、右室双腔
B、三尖瓣缺如
C、异位腱索
D、三尖瓣下移
E、室间隔缺损
正确答案:
D
答案解析:
有
进入题库查看解析
微信扫一扫手机做题
最新试题
·
下列哪些因素影响井型γ计数器的测量结果(
·
冠状动脉瘘不会出现的病理生理改变是()。
·
患者,女,31岁,临床诊断视网膜中央动脉
·
患者,56岁,男性。急性心肌梗死后三天突
·
微波消融肿瘤(microwave abl
·
患者,男性,较肥胖,既往无肝病史,有大量
·
成对的脑颅骨是()。
·
患儿,5岁,呼吸困难.紫绀,杵状指。X线
·
关于鼻腔的描述错误的是()。
·
女性,59岁,进食后有胀满感,腹痛,体重
热门试题
·
下列哪一项对诊断胎儿脊柱裂最有帮助()。
·
二尖瓣脱垂综合征,下列哪项是错误的()。
·
快速充盈期其充盈血量占舒张期总充盈量的百
·
光电效应也称为()
·
多普勒组织成像的脉冲波多普勒技术常用于检
·
下列结构不属于排尿器官的是()。
·
中年女性,40岁,既往无腰部疼痛史,近2
·
癌性空洞的特点以下哪项除外()
·
以下显示方式不属于三维超声成像的是()。
·
男,46岁,超声体检发现左肾实质部无回声