多做题,通过考试没问题!
吉林住院医师耳鼻咽喉科
睦霖题库
>
吉林住院医师
>
吉林住院医师耳鼻咽喉科
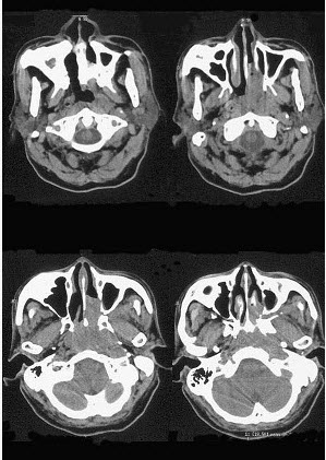
男,64岁,间断性流鼻血一年余,近1个月加重,CT如图所示,最可能的诊断为()。
A、鼻咽部腺样体增生
B、鼻咽纤维血管瘤
C、鼻咽部恶性淋巴瘤
D、鼻咽部淋巴组织增生
E、鼻咽癌
正确答案:
E
答案解析:
有
进入题库查看解析
微信扫一扫手机做题
最新试题
·
鼻咽癌累及舌下神经时表现为()。
·
"喉咽癌出现的早期症状有()。
·
扁桃体周围间隙位于()。
·
咽后脓肿多局限于一侧是因为()。
·
与鼻咽癌的发生有关的是()。
·
腺样体肥大的临床表现不包括()。
·
与鼻咽癌发病有关的微量元素为()。
·
长期持续发作的OSAS患者可并发()。
·
早期鼻咽癌的症状不包括()。
·
咽的应用解剖学的描述正确的是()。
热门试题
·
急性扁桃体炎的全身症状多见于下列哪些()
·
不支配扁桃体神经的是()。
·
有关鼻咽癌的治疗,正确的做法是()。
·
男性,57岁,睡觉打鼾,近来加重,CT扫
·
咽旁脓肿为()的化脓性炎症,早期为蜂窝织
·
对鼻咽纤维血管瘤的描述不相符的是()。
·
参与构成软腭的肌肉有()。
·
对急性腺样体炎的描述不包括()。
·
下列因素可引起慢性咽炎的是()。
·
与扁桃体外侧相邻的肌肉是()。