多做题,通过考试没问题!
CT医师大型医用设备上岗证
睦霖题库
>
大型设备上岗证
>
CT医师大型医用设备上岗证
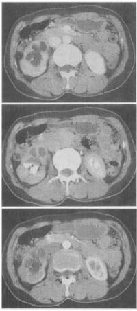
患者,男,33岁,尿频,尿急伴发热月余。尿常规检查:镜下血尿,脓尿。CT检查见图。该患者最有可能患何种疾病()。
A、肾癌
B、肾盂癌
C、肾结核
D、肾囊肿
E、错构瘤
正确答案:
C
答案解析:
有
进入题库查看解析
微信扫一扫手机做题
最热试题
·
颅脑试题5
·
颅脑试题2
·
呼吸、循环系统试题3
·
脊柱试题1
·
脊柱试题2
·
消化系统试题2
·
五官和颈试题1
·
胸部试题5
·
消化系统试题4
·
泌尿、生殖系统试题3
最新试题
·
卵巢囊性畸胎瘤的声像图表现,下列哪一项是不正确的()。
·
以下对膀胱癌CT征象的描述错误的是:()
·
结合图像所示,肾的被膜由外向内依次为()。
·
见于Albright综合征的疾病是()。
·
颌面外伤CT检查最好选用:()
·
患者男,65岁,咳嗽、右侧胸痛、痰中带血丝1周。胸部后前位片示:
·
肺癌的生长速度,在动态观察中常以肿瘤的倍增时间来观察,倍增时
·
胆管细胞性肝癌与肝细胞性肝癌的鉴别要点是:()
·
关于阻塞性肺气肿,X线表现描述错误的是()。
·
幼年性强直性脊柱炎最早出现症状和X线异常表现的部位是()。