多做题,通过考试没问题!
吉林住院医师耳鼻咽喉科
睦霖题库
>
吉林住院医师
>
吉林住院医师耳鼻咽喉科
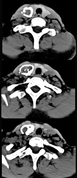
50岁女性患者,体检发现右侧甲状腺有较硬结节,CT扫描如图所示,请选择正确的描述和答案()。
A、右侧甲状腺内见稍低密度影,周边围以环形致密钙化影
B、肿块影与周围结构分界清楚
C、考虑为结节性甲状腺肿
D、考虑为甲状腺癌
E、考虑为甲状腺腺瘤钙化
正确答案:
A,B,E
答案解析:
有
进入题库查看解析
微信扫一扫手机做题
最新试题
·
颈清扫术应当沿椎前筋膜的浅层进行,以防损
·
颈动脉鞘由哪组筋膜形成()。
·
急性淋巴结炎应行()。
·
女,16岁,发现左颈部肿块两年,CT如图
·
发现颈部包块后,不正确的处理是()。
·
喉上神经内支支配()。
·
患者,男,2d前车祸中碰伤胸部并被圆钝硬
·
放射性核素检查()。
·
后天性颈动-静脉瘘的特征症状是()。
·
颈淋巴结结核多发人群是()。
热门试题
·
甲状舌管囊肿及瘘管()。
·
副神经支配()。
·
气管闭合性创伤常伴有()。
·
MRI检查()。
·
当外力从正面直接撞击颈部时,主要损伤()
·
先天性颈部瘘管是()。
·
颈部蜂窝织炎致病细菌主要为()。
·
颈淋巴结的早期表现是()。
·
喉上神经外支支配()。
·
甲状腺腺癌多为()。