多做题,通过考试没问题!
吉林住院医师耳鼻咽喉科
睦霖题库
>
吉林住院医师
>
吉林住院医师耳鼻咽喉科
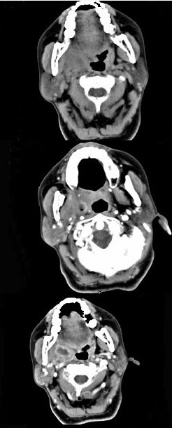
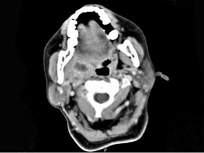
女,52岁,咽喉部疼痛半个月,伴低热,CT如图所示,可能诊断为()。
A、咽旁脓肿
B、咽部神经鞘瘤
C、鼻咽血管纤维瘤
D、咽旁淋巴瘤
E、咽旁转移癌
正确答案:
A
答案解析:
有
进入题库查看解析
微信扫一扫手机做题
最新试题
·
三角襞的描述正确的是()。
·
治疗扁桃体炎急性发作时错误的是()。
·
致咽异感的是()。
·
与鼻咽癌说法不相符的是()。
·
致急性脓毒性咽炎的病原菌是()。
·
鼻咽癌患者颈淋巴结转移常见,达到(),多
·
口咽检查时应观察软腭()。
·
下列与鼻咽癌有关的描述相符的是()。
·
应怀疑有鼻咽癌可能的情况可有()。
·
不宜行扁桃体切除术的情况是()。
热门试题
·
在全麻下行扁桃体切除术后患者在尚未清醒时
·
对于急性扁桃体炎下列哪些说法是正确的()
·
急性咽炎的病理变化有()。
·
UPPP的并发症主要有哪些()。
·
适于治疗OSAS患者的手术包括()。
·
引起开放性鼻音的疾病正确的是()。
·
与咽后壁相邻的结构正确的是()。
·
与鼻咽纤维血管瘤相符的是()。
·
从解剖学方面看,喉上方容易发生狭窄的部位
·
咽部灼伤时应用类固醇激素是为了()。