多做题,通过考试没问题!
天津住院医师耳鼻咽喉科
睦霖题库
>
天津住院医师
>
天津住院医师耳鼻咽喉科
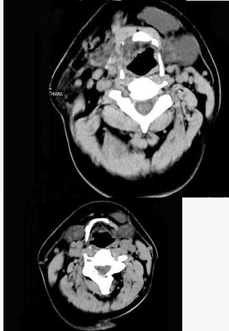
男,32岁,左侧下颌部肿块,CT如图所示,最可能的诊断是()。
A、造釉细胞瘤
B、颌骨囊肿
C、鳃裂囊肿
D、颈部淋巴管瘤
E、舌下腺囊肿
正确答案:
E
答案解析:
有
进入题库查看解析
微信扫一扫手机做题
最新试题
·
心房颤动最常见于()。
·
电反应测听一般用于()。
·
甲状腺功能亢进常用的特殊检查方法:()、
·
下列检查中属面神经变性程度的客观检测方法
·
食管异物的诊断下列哪项最重要()。
·
老年人闭合容量与青年人闭合容量的关系()
·
直接喉镜手术禁忌证包括()。
·
根据气房发育程度,乳突可分为()。
·
下列哪项不是分泌性中耳炎的特点()。
·
下列哪一种方法最直接了解组织有效供氧量(
热门试题
·
外耳道疖描述有误的是()。
·
新生儿复苏最佳的给药途径是()。
·
下列关于氨基糖苷类抗生素引起的耳聋特点,
·
筛后动脉的供应区包括()。
·
消化道癌尤其是大肠癌的肿瘤标志物是()。
·
男,31岁。转移性右下腹痛24小时,伴恶
·
耳硬化伴耳蜗受累者听力检查结果有误的是(
·
在人类听觉范围内,耳内肌对大部分频率都可
·
变应性鼻炎发作时,鼻黏膜呈浅蓝色,出现鼻
·
病理上脾外伤分为(),(),()。