多做题,通过考试没问题!
山西住院医师放射科
睦霖题库
>
山西住院医师
>
山西住院医师放射科
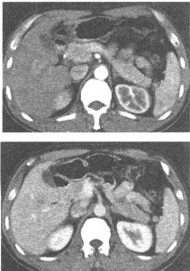
男,41岁。HBsAg(+),AFP45μg/ml。体检超声发现肝右叶有26mm×23mm大小低回声结节。CT增强扫描如图所示。最有可能的诊断为()
A、肝血管瘤
B、肝细胞癌
C、肝炎性假瘤
D、脂肪肝
E、肝腺瘤
正确答案:
B
答案解析:
有
进入题库查看解析
微信扫一扫手机做题
最新试题
·
关于Couinaud肝段划分,错误的是(
·
关于体素正确的是()。
·
男,78岁,糖尿病17年,低热、右侧胸痛
·
有关中耳胆脂瘤的描述,不正确的是()
·
患者女性,52岁。呼吸困难1个小时。CT
·
女性,60岁,意识不清1小时,血压:11
·
决定CT机连续工作时间长短的最关键指标是
·
男孩,2岁,双眼疼痛1年,右侧眼球突出。
·
与肺肿瘤生长速度不均等,遇到的阻力不同有
·
下列关于鼻窦囊肿的描述,错误的是()
热门试题
·
男性,40岁,CT平扫肝脏密度大片减低,
·
典型肾囊肿CT表现,错误的是()
·
下述前列腺癌的影像特点,哪项不对()
·
新生儿缺氧性脑病,CT呈现的“双圈征”是
·
螺距是指()。
·
男,75岁,右侧肢体麻木无力,言语含糊,
·
床速与准直宽度的比值是()
·
患者,男,45岁。突感胸骨后疼痛来院就诊
·
不同CT值范围提示不同成分,下列叙述中错
·
多发性硬化最常见部位是()