多做题,通过考试没问题!
甘肃住院医师急诊科
睦霖题库
>
甘肃住院医师
>
甘肃住院医师急诊科
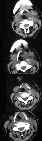
女,54岁,鼻咽部异物感约3个月,PE://左侧声带固定,可见肿物,CT如图所示,应诊断为()
A、喉部乳头状瘤
B、喉癌
C、喉部血管瘤
D、慢性增生性喉炎
E、增生型喉结核
正确答案:
B
答案解析:
有
进入题库查看解析
微信扫一扫手机做题
最新试题
·
患者男,45岁,石灰溅入右眼后眼痛、视力
·
关于ROP的治疗,错误的是()
·
裂孔性视网膜脱离指的是()
·
行喉额前部分切除术适用于()
·
试述慢性鼻窦炎的临床特点与处理原则。
·
患者,男性,55岁,双眼视力逐渐下降8年
·
与成人喉炎相比,小儿急性喉炎最大的特点为
·
急性化脓性中耳炎全身治疗的原则包括()
·
下列哪一项关于视网膜母细胞瘤的阐述是错误
·
在眼底荧光血管造影检查中,关于新生血管以
热门试题
·
建立房水外流通道的手术()
·
某女性患者,62岁,左眼突然视力下降2个
·
试述眼部有关肌肉的神经支配。
·
影响瞳孔阻滞力的解剖因素包括()
·
需与鼓室积液相鉴别的是()
·
鼻内镜脑脊液鼻漏修补术修补蝶窦脑脊液鼻漏
·
患者男性,33岁,因左眼被弹起的木块打伤
·
患者,男性,6岁,与同伴玩耍时被玩具枪子
·
慢性化脓性中耳炎的临床特点,下列哪项不是
·
男性,50岁,自觉咽喉部不适1个多月,间