多做题,通过考试没问题!
吉林住院医师耳鼻咽喉科
睦霖题库
>
吉林住院医师
>
吉林住院医师耳鼻咽喉科
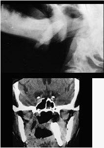
67岁男性患者,咽喉部异物感3年余,从小经常出现咽喉部疼痛伴发热,行X线及CT检查如图所示,请选择正确的描述和结论()。
A、侧位示与下颌骨部分重叠的条形致密影
B、CT示右侧下颌骨内侧咽旁间隙见条形致密影
C、右侧扁桃体结石
D、右侧扁桃体出血
E、右侧扁桃体肿瘤
正确答案:
A,B,C
答案解析:
有
进入题库查看解析
微信扫一扫手机做题
最新试题
·
已证实与鼻咽癌有关的病毒是()。
·
鼻咽癌淋巴结转移首先转移至()。
·
在解剖上鼻咽位于()。
·
患者有开放性鼻音,吞咽时食物逆行进入鼻腔
·
不适宜施行扁桃体切除术的是()。
·
鼻咽纤维血管瘤位于鼻咽部或侵入鼻腔、鼻窦
·
鼻咽癌患者颈淋巴结转移常见,达到(),多
·
萎缩性咽炎()。
·
扁桃体上极与腭舌弓之间的是()。
·
咽反射是一种()。
热门试题
·
对于急性扁桃体炎发作期,可采取的治疗措施
·
有关阻塞性睡眠呼吸暂停症状的说法不相符的
·
关于慢性咽炎正确的是()。
·
扁桃体周脓肿是扁桃体隐窝内的急性炎症。(
·
关于鼻咽纤维血管瘤不正确的是()。
·
腭帆肌组的作用包括()。
·
患者常有发作性一侧咽痛,痛起突然,向同侧
·
鼻咽纤维血管瘤的主要治疗方法是()。
·
何为"腺样体面容"?
·
一般鼻咽癌首发症状是()。