多做题,通过考试没问题!
天津住院医师耳鼻咽喉科
睦霖题库
>
天津住院医师
>
天津住院医师耳鼻咽喉科
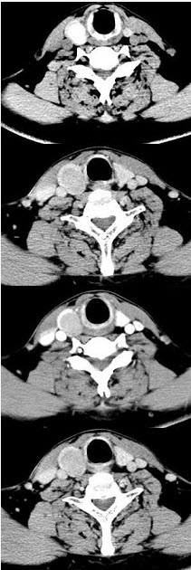
男,43岁,右颈部扪及一包块,CT如图所示,应诊断为()。
A、甲状腺腺瘤
B、甲状腺腺癌
C、结节性甲状腺肿
D、甲状腺原发淋巴瘤
E、甲状腺转移癌
正确答案:
A
答案解析:
有
进入题库查看解析
微信扫一扫手机做题
最新试题
·
下列不是舌咽神经痛特点的是()。
·
对鼓室肌生理功能的描述,不正确的是()。
·
不宜行扁桃体切除的情况有()。
·
关于急性脓胸的治疗方法,下列哪项是正确的
·
关于体液量,下述哪些是正确的()。
·
行喉烫伤和烧灼伤分型的依据是()。
·
常用的咽鼓管吹张法有()。
·
鼻镜检查对鼻腔、鼻窦疾病诊断极为重要。菜
·
典型的腹外疝应由下列哪些部分组成()。
·
男性,50岁。右眼睑下垂,复视3个月。既
热门试题
·
一侧声带癌已累及声带大部分或全长,向前达
·
下列哪一幅为鼓膜次全穿孔的示意图()。
·
下列关于硬食管镜检查,错误的是()。
·
女,33岁,反复化脓性脑膜炎,数月前有右
·
关于喉的淋巴引流哪些正确(请从以下5个备
·
男,41岁,发现右上颈包块2个月,病理活
·
急性筛窦炎典型的压痛部位为()。
·
以下哪项不属于鼻道窦口复合体的解剖变异(
·
中耳病变明显,需探查上鼓室、鼓窦可考虑做
·
急性化脓性中耳炎及乳突炎多见于儿童的原因