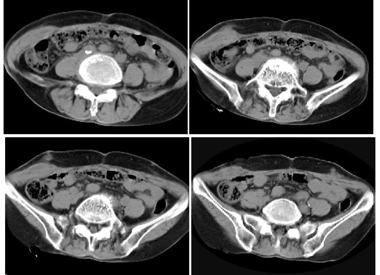
女,57岁,右侧下腹壁逐渐增大性包块1年余,无发热,偶有疼痛,体检:右下腹壁触及一约7cm×8cm大小、质硬包块,活动度差,局部皮肤无红肿,CT表现如图,最可能的诊断为()
- A、腹壁硬纤维瘤
- B、腹壁转移癌
- C、腹壁横纹肌肉瘤
- D、腹壁神经纤维瘤
- E、腹壁淋巴瘤
正确答案:A
答案解析:有

微信扫一扫手机做题
女,57岁,右侧下腹壁逐渐增大性包块1年余,无发热,偶有疼痛,体检:右下腹壁触及一约7cm×8cm大小、质硬包块,活动度差,局部皮肤无红肿,CT表现如图,最可能的诊断为()

微信扫一扫手机做题