多做题,通过考试没问题!
CT医师大型医用设备上岗证
睦霖题库
>
大型设备上岗证
>
CT医师大型医用设备上岗证
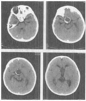
患儿,男,5岁,CT平扫图像如下,最可能的诊断是()
A、垂体瘤
B、透明隔囊肿
C、颅咽管瘤
D、蛛网膜囊肿
E、Rathke裂囊肿
正确答案:
C
答案解析:
有
进入题库查看解析
微信扫一扫手机做题
最热试题
·
颅脑试题6
·
五官和颈试题2
·
胸部试题2
·
五官和颈试题3
·
胸部试题5
·
颅脑试题2
·
胸部试题3
·
盆腔试题2
·
胸部试题6
·
颅脑试题3
最新试题
·
室间孔的形态呈:()
·
要想同时观察肝脏与其周围脂肪组织应采取:()
·
急性粟粒性肺结核的典型粟粒结节的大小约为:()
·
患者,女,12岁,头部外伤2小时。CT平扫示:右侧颞顶部颅骨内板下
·
正位胸片上关于正常肺门的论述错误的是:()
·
卵巢Krukenberg氏瘤,不同于一般卵巢恶性肿瘤的突出之处在于:(
·
小脑不包括:()
·
神经纤维瘤病Ⅰ型和Ⅱ型都可以有:()
·
微小听神经瘤直径一般在:()
·
发生在桥小脑角区肿瘤中岩骨有明显骨质增生的是:()