多做题,通过考试没问题!
吉林住院医师耳鼻咽喉科
睦霖题库
>
吉林住院医师
>
吉林住院医师耳鼻咽喉科
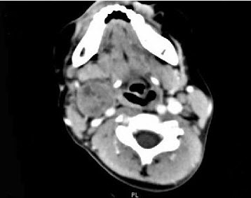
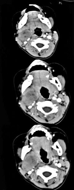
女,4岁,右侧颈部可扪及一包块约两个月,无热无痛,CT如图所示,最可能的诊断为()。
A、咽旁血管外皮瘤
B、咽旁副神经节瘤
C、咽旁脓肿
D、咽旁神经纤维瘤
E、咽旁小唾液腺混合瘤
正确答案:
D
答案解析:
有
进入题库查看解析
微信扫一扫手机做题
最新试题
·
下列哪项是急性扁桃体炎的局部症状主要表现
·
前上型扁桃体周脓肿穿刺的部位正确的是()
·
鼻咽癌累及外展神经可致()。
·
茎突过长症产生的临床症状表现为()。
·
纤维型慢性扁桃体炎可见()。
·
咽淋巴内环中淋巴组织最大的为()。
·
引起吞咽困难的病因有()。
·
扁桃体的生理功能正确的是()。
·
有关鼻咽纤维血管瘤的叙述中,错误的是()
·
咽壁纤维层在咽后壁中线部分特别坚韧,构成
热门试题
·
10个月大的婴儿,发热,曾患中耳炎,CT
·
下列属急性咽炎并发症的有()。
·
鼻咽癌累及三叉神经可致()。
·
喉咽异物经常停留于()。
·
可引起阻塞睡眠呼吸暂停低通气综合征为()
·
有关鼻咽癌的描述不相符的是()。
·
喉咽部的淋巴先回流至()。
·
咽部灼伤的治疗有()。
·
多导睡眠描记仪可记录患者的()。
·
扁桃体切除术的适应证是()。