多做题,通过考试没问题!
山西住院医师放射科
睦霖题库
>
山西住院医师
>
山西住院医师放射科
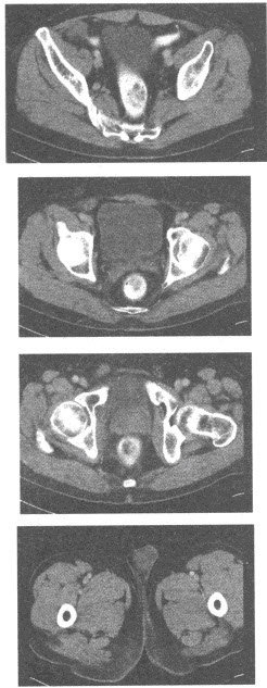
男,20岁,右侧阴囊空虚,触诊时阴囊内无睾丸,根据所提供的增强CT图像:
最可能的诊断是()
A、盆腔占位
B、隐睾
C、盆腔积液
D、睾丸肿瘤
E、附睾炎
正确答案:
B
答案解析:
有
进入题库查看解析
微信扫一扫手机做题
最新试题
·
通常认为内耳道宽度小于多少为狭窄()
·
听眦线(OM线)是指()。
·
脐尿管癌最常见的组织学类型是()
·
有助于鉴别子宫肌瘤与子宫体癌的是()
·
肾盂癌的Rubenstein分期,错误的
·
Lefort骨折Ⅰ型为()
·
发生在桥小脑角区肿瘤中无强化的是()
·
肾结核最早的病灶位于()
·
患者,男性,65岁,全程无痛性血尿半年,
·
64排螺旋CT,探测器宽度0.5mm,螺
热门试题
·
下列哪种伪影是由致密结构或金属引起的()
·
成年男性,癫痫,颅脑CT平扫图像如下,最
·
男性,70岁。行腹部CT增强扫描,发现腹
·
区别肺叶发育不全与肺隔离症最佳的检查方法
·
诊断肺栓塞的直接征象是()
·
下述睾丸肿瘤诊断要点,哪项不对()
·
患儿,男,5岁,CT平扫图像如下,最可能
·
较易出现钙化的肾上腺肿瘤是()
·
脑出血CT水肿高峰发生于发病后()
·
关于肾筋膜和肾周间隙的描述,错误的为()