多做题,通过考试没问题!
宁夏住院医师耳鼻咽喉科
睦霖题库
>
宁夏住院医师
>
宁夏住院医师耳鼻咽喉科
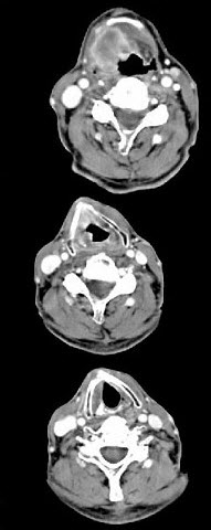
男,63岁,咽喉部不适约一年,近2个月经常咳嗽,痰中带有血丝,CT如图所示,应诊断为()。
A、梨状窝癌
B、声门型喉癌
C、声门下型喉癌
D、声门上型喉癌
E、混合型喉癌
正确答案:
D
答案解析:
有
进入题库查看解析
微信扫一扫手机做题
最新试题
·
正常人双侧总鼻阻力平均为()。
·
变应性鼻炎发作时,鼻粘膜呈浅蓝色,出现鼻
·
男,32岁,左侧下颌部肿块,CT如图所示
·
不宜行扁桃体切除术的情况是()。
·
筛漏斗的最后为()。
·
额窦炎症可()。
·
鼻腔的副交感神经来自()。
·
上颌窦的上壁为()。
·
有关前庭末梢感受器功能描述正确的是()。
·
视神经管骨折引起视力下降需行视神经减压的
热门试题
·
急性鼻炎的可能并发症是()。
·
食管第3狭窄距第2狭窄()。
·
鼻咽癌好发于()和()。
·
临床上环杓关节脱位的治疗措施主要为()。
·
急性乳突炎的病因是()。
·
下列哪项措施不宜在梅尼埃病发作期选用()
·
耳硬化手术治疗所选用的主要手术为()和(
·
新生儿出现呼吸困难,不能正常哺乳,应首先
·
构成喉咽部的粘膜是()。
·
咽后隙脓肿炎症可扩展至()。