多做题,通过考试没问题!
吉林住院医师耳鼻咽喉科
睦霖题库
>
吉林住院医师
>
吉林住院医师耳鼻咽喉科
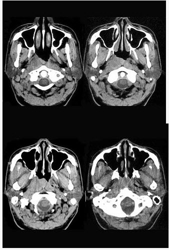
男,52岁,右耳鸣两月余,伴鼻塞,CT如图所示,应诊断为()。
A、鼻咽淋巴瘤
B、鼻咽纤维血管瘤
C、增殖体肥大
D、鼻咽癌
E、鼻咽部慢性炎症
正确答案:
D
答案解析:
有
进入题库查看解析
微信扫一扫手机做题
最新试题
·
引起吞咽困难的病因有()。
·
有关扁桃体恶性肿瘤的说法中,正确的是()
·
确诊慢性扁桃体炎的主要依据是()。
·
男,41岁,发现右上颈包块2个月,病理活
·
鼻咽纤维血管瘤表现为()。
·
萎缩性咽炎的病理变化有()。
·
患者扁桃体剥离术后2d,突感咽痛加剧,体
·
喉咽异物经常停留于()。
·
咽后隙的下列说法错误的是()。
·
于咽淋巴组织中最大的是()。
热门试题
·
急性扁桃体炎可见()。
·
与扁桃体外侧相邻的肌肉是()。
·
在解剖上口咽位于()。
·
急性咽炎的临床表现正确的是()。
·
鼻咽癌在临床上可表现为()。
·
腺样体属于()。
·
鼻咽癌的病因及流行病学调查认为正确的是(
·
扁桃体恶性肿瘤常见()。
·
对喉咽的描述,错误的是()。
·
关于咽后脓肿的并发症不应有()。