多做题,通过考试没问题!
内蒙古住院医师耳鼻咽喉科
睦霖题库
>
内蒙古住院医师
>
内蒙古住院医师耳鼻咽喉科
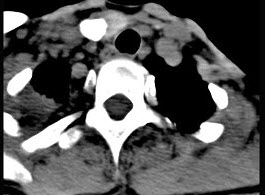
50岁女性患者,体检发现右侧甲状腺有较硬结节,CT扫描如图所示,请选择正确的描述和答案()。
A、右侧甲状腺内见稍低密度影,周边围以环形致密钙化影
B、肿块影与周围结构分界清楚
C、考虑为结节性甲状腺肿
D、考虑为甲状腺癌
E、考虑为甲状腺腺瘤钙化
正确答案:
A,B,E
答案解析:
有
进入题库查看解析
微信扫一扫手机做题
最新试题
·
颌下腺、颌下淋巴结位于()。
·
颈部5大淋巴结群包括()。
·
用于诊断颈动脉创伤性栓塞的方法包括()。
·
女性,46岁,右颈部无痛性包块,质软,M
·
急性淋巴结炎应行()。
·
女,72岁,六年前于右面颊部扪及一包块,
·
患者,男性,23岁,发热头痛3天,伴咽旁
·
颈深肌群不包括()。
·
颈部的筋膜间隙不包括()。
·
治疗颈动静脉瘘的最有效方法是()。
热门试题
·
1岁女孩,左耳垂下进行性增大肿块3个月,
·
下列为颈深部组织炎症的是()。
·
咽丛位于()。
·
37岁女性,左侧颈部肿块渐进性增大,无压
·
对颈深淋巴结的描述,正确的是()。
·
舌下隙炎症可延伸至()。
·
扁桃体恶性肿瘤常见的转移部位有()。
·
女,32岁,颈部包块8年余,包块逐渐长大
·
囊性水瘤多发生于()。
·
颈清扫术应该遵循下列哪些原则()。