多做题,通过考试没问题!
河南住院医师放射肿瘤科
睦霖题库
>
河南住院医师
>
河南住院医师放射肿瘤科
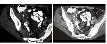
男,42岁,右下腹痛、腹胀半年,无浅表淋巴结肿大,影像检查如图,最可能的诊断是()
A、淋巴瘤
B、结肠癌
C、Crohn病
D、肠结核
E、腹膜后纤维化
正确答案:
C
答案解析:
有
进入题库查看解析
微信扫一扫手机做题
最新试题
·
腹内实质性脏器病变,宜先选用的检查是()
·
下列关于脾血管瘤的错误说法是()
·
患者,男,50岁,右上腹痛伴黄疸,超声体
·
患者腹胀,结合图像,最可能的诊断是()
·
男,71岁,转移性右下腹痛4天。查体右下
·
下列关于道格拉斯窝的描述,哪项是错误的(
·
慢性胆囊炎的CT表现为()
·
关于胆管结石CT表现,错误的是()
·
立位片上,腹腔游离气体典型影像为()
·
男,44岁,发热、右上腹痛、压痛,右下肺
热门试题
·
下列哪种疾病,不会出现肝内胆管扩张表现(
·
结合图像,该病例胰腺团块,最不可能的诊断
·
如图所示,门静脉内气体的原因是()
·
急性胆囊炎最常见的病因是()
·
患者有淋巴瘤病史,结合图像,最可能的诊断
·
提示直肠癌失去手术机会的CT征象为()
·
骨髓移植患者发热,结合图像,最可能的诊断
·
有关肝硬化的CT表现,正确的是()
·
关于囊形肝包虫病CT影像,下列描述错误的
·
根据所提供的图像,最可能的诊断是()