多做题,通过考试没问题!
福建住院医师超声医学科
睦霖题库
>
福建住院医师
>
福建住院医师超声医学科
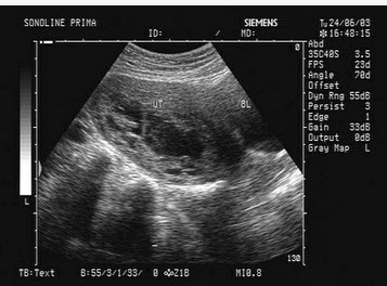
女,26岁,早孕药流后阴道流血就诊,超声声像图如下,最可能的诊断为()
A、正常早孕
B、先兆流产
C、胎盘置入
D、稽留流产
E、不全流产
正确答案:
D
答案解析:
有
进入题库查看解析
微信扫一扫手机做题
最新试题
·
肺动脉瓣血流的多谱勒频谱有什么特点()
·
临床资料:女,40岁,自诉2天前骑车时摔
·
临床资料:女,9岁,自述左侧腰部疼痛2年
·
以下哪一结构不在后腹膜腔内()
·
股骨长度测量是()
·
某患者血管超声彩色多谱勒检查,如图所示,
·
约50%宫内生长迟缓的胎盘表现为()
·
传统的前列腺分叶方法将前列腺分为()
·
附睾结核慢性期,超声表现为()
·
左室型单心室的超声表现除外()
热门试题
·
下列叙述中,与前列腺癌无关的是()
·
患者女33岁,右上腹剧痛5小时,体检:右
·
肾囊肿常见于45岁以上的成年人()
·
临床资料:女,55岁,胆囊切除术后复查。
·
下列卵巢囊性病变影像,哪项不对()
·
临床资料:男,49岁,常规体检。 超声综
·
下列哪项不符合胎儿肺声像图的特点()
·
临床资料:男,25岁,常规体检。 超声综
·
胸骨左缘声窗检查心脏的短轴切面图,下列哪
·
临床资料:女,28岁,哺乳10个月,右乳