多做题,通过考试没问题!
吉林住院医师耳鼻咽喉科
睦霖题库
>
吉林住院医师
>
吉林住院医师耳鼻咽喉科
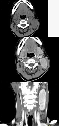
女,19岁,发现左颈部无痛性肿块2年余,可活动,CT如图所示,最可能诊断为()。
A、淋巴结炎
B、淋巴瘤
C、转移癌
D、淋巴结结核
E、巨淋巴结增生症
正确答案:
E
答案解析:
有
进入题库查看解析
微信扫一扫手机做题
最新试题
·
男,60岁,因吞咽疼痛伴咽异物感一个月就
·
颈部淋巴结核的治疗方法首选()。
·
女性,40岁,下颌颏部隆起,X线检查如图
·
颈部疼痛的原因一般不包括()。
·
CT检查()。
·
甲状舌管瘘管,外瘘口位于(),内瘘口位于
·
鳃裂瘘()。
·
甲状舌管瘘管内瘘口位于()。
·
下列检查能判断肿块与周围血管之间关系的有
·
腹部器官的恶性肿瘤易转移到()。
热门试题
·
颈部淋巴结结核()。
·
Ohngren界限主要用于描述下面哪种鼻
·
咽后隙形成的脓肿其脓液可波及()。
·
治疗气管闭合性损伤的原则是()。
·
颈动脉创伤性栓塞的治疗措施包括()。
·
第1鳃裂囊肿及瘘管()。
·
若甲状舌管囊肿及瘘管术后复发,应选择的治
·
DSA检查在颈部主要应用于()。
·
喉癌一般是男性多发,但是下面哪一种类型肿
·
甲状舌管囊肿与皮样囊肿一样可随吞咽上下运