多做题,通过考试没问题!
河南住院医师放射肿瘤科
睦霖题库
>
河南住院医师
>
河南住院医师放射肿瘤科
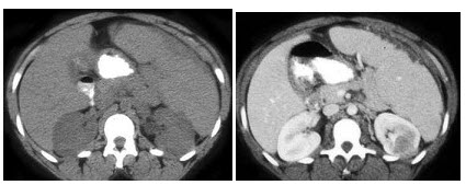
患者有镰刀形红细胞特征,结合图像,最可能的诊断为()
A、脾梗死
B、脾脓肿
C、脾出血
D、脾隔离症
E、以上都不是
正确答案:
D
答案解析:
有
进入题库查看解析
微信扫一扫手机做题
最新试题
·
关于原发性硬化性胆管炎,下列观点错误的是
·
CT平扫,肝脏密度一致性增高,最可能的诊
·
下列哪项不是肝癌所致肝静脉、下腔静脉癌栓
·
艾滋病患者,腹痛,结合图像,最可能的诊断
·
男,72岁,右上腹痛1月,AFP阴性,无
·
女,43岁,发现盆腔包块3年,排尿困难6
·
男,55岁,左下腹胀痛、并可触及包块,结
·
下述Caroli病CT特点,错误的是()
·
根据所提供的图像,可除外下列哪种诊断()
·
患者表现为小肠梗阻,结合图像,最可能的诊
热门试题
·
下列关于腹膜后脂肪肉瘤,错误的是()
·
男,41岁。HBsAg(+),AFP45
·
根据所提供的图像,该病例的最可能的诊断为
·
CT平扫,除下述哪种病变外,其余病变均可
·
男,35岁,有乙肝病史多年,AFP阳性,
·
患者50岁,右上腹痛,结合图像,最可能的
·
下腔静脉受肝癌侵犯和癌栓形成CT表现(
·
关于脾囊肿的CT表现中哪项是错误的()
·
男,18岁,疲乏,贫血貌,CT示脾前缘近
·
下列关于肝癌CT平扫检查概念错误的是()