多做题,通过考试没问题!
吉林住院医师耳鼻咽喉科
睦霖题库
>
吉林住院医师
>
吉林住院医师耳鼻咽喉科
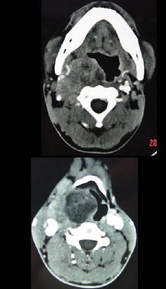
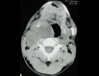
男,41岁,右侧咽部不适两年余,有异物感,声音嘶哑,CT如图所示,最可能诊断为()。
A、颈动脉体瘤
B、咽旁转移癌
C、咽旁淋巴瘤
D、小唾液腺瘤
E、咽旁神经鞘膜瘤
正确答案:
E
答案解析:
有
进入题库查看解析
微信扫一扫手机做题
最新试题
·
对于急性扁桃体炎发作期,可采取的治疗措施
·
检查咽部时,压舌板按压的位置正确的是()
·
简述阻塞性睡眠呼吸暂停低通气综合征的治疗
·
治疗咽部血管瘤可行()。
·
病灶扁桃体的靶器官的损伤是因产生了Ⅱ型变
·
关于结核性咽后脓肿的治疗不应()。
·
阻塞性呼吸暂停综合征患者,夜间7h的睡眠
·
喉咽癌中多数是()。
·
急性咽炎可引起()、()及()的急性炎症
·
下列哪些是扁桃体术后并发症()。
热门试题
·
腺样体因鼻咽及邻近部位或自身炎症的反复刺
·
鼻咽纤维血管瘤由()、()和()组成,常
·
咽后脓肿切开排脓的正确体位是()。
·
对鼻咽纤维血管瘤的描述不相符的是()。
·
咽旁隙的说法错误的是()。
·
患者,男性,35岁。咽痛、发热伴头痛5天
·
慢性单纯性咽炎表现为()。
·
致鼻咽癌早期诊断率不高是因为()。
·
阻塞性睡眠呼吸暂停低通气综合征的并发症包
·
急性腺样体炎常见于()。