多做题,通过考试没问题!
吉林住院医师耳鼻咽喉科
睦霖题库
>
吉林住院医师
>
吉林住院医师耳鼻咽喉科
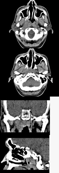
男,52岁,血涕3月余。CT如图所示,最可能的诊断为()。
A、鼻咽癌
B、咽旁混合瘤
C、咽部神经纤维瘤
D、小唾液腺瘤
E、咽旁脓肿
正确答案:
A
答案解析:
有
进入题库查看解析
微信扫一扫手机做题
最新试题
·
简述咽后脓肿的主要临床表现及其危险性。
·
咽旁脓肿的并发症可有()。
·
有关鼻咽癌的说法,错误的是()。
·
致鼻咽癌的常见病因包括()。
·
一侧软腭麻痹可引起()。
·
咽后脓肿切开排脓的正确体位是()。
·
咽旁隙的界限为()。
·
慢性扁桃体炎临床上有以下哪些表现()。
·
阻塞性睡眠呼吸暂停低通气综合征如何诊断?
·
慢性肥厚性咽炎局部可表现为()。
热门试题
·
咽后隙淋巴引流的主要部位包括()。
·
扁桃体切除术后并发症为()。
·
咽淋巴引流描述错误的是()。
·
治疗结核性咽后脓肿的方法包括()。
·
鼻咽癌的首选的治疗是()。
·
对急性腺样体炎的描述,错误的是()。
·
扁桃体和腭咽弓之间的是()。
·
关于扁桃体周脓肿描述正确的是()。
·
对于急性扁桃体炎下列哪些说法是正确的()
·
不支配扁桃体神经的是()。