多做题,通过考试没问题!
吉林住院医师耳鼻咽喉科
睦霖题库
>
吉林住院医师
>
吉林住院医师耳鼻咽喉科
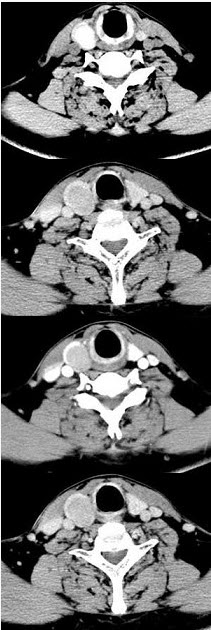
男,43岁,右颈部扪及一包块,CT如图所示,应诊断为()。
A、甲状腺腺瘤
B、甲状腺腺癌
C、结节性甲状腺肿
D、甲状腺原发淋巴瘤
E、甲状腺转移癌
正确答案:
A
答案解析:
有
进入题库查看解析
微信扫一扫手机做题
最新试题
·
男,16岁,咽异物感6年,无咽部出血及吞
·
颈部最常见的先天性疾病是()。
·
Skandalakis总结的颈部包块的发
·
颈动脉瘤一旦确诊,首选下列哪种治疗()。
·
由动脉硬化所致的颈动脉瘤多发生在()。
·
颈浅淋巴结沿下面哪个结构排列()。
·
蜂窝织炎后期(脓肿已形成)应行()。
·
颈动脉瘤的治疗包括()。
·
45岁,男性,颈部渐进性增大包块,CT增
·
颈淋巴结结核是()。
热门试题
·
下列哪种检查可以明确颈动-静脉瘘瘘口的部
·
对颈深淋巴结的描述,正确的是()。
·
甲状腺上动脉多发自()。
·
颈侧部肿块,有明显搏动和收缩期杂音,压迫
·
患者,女性,28岁,发热头痛4天,伴咽旁
·
下面哪几个解剖结构组成颈动脉三角的边界(
·
关于颈部境界的叙述,正确的是()。
·
颈部囊性水瘤多位于()。
·
第一鳃裂瘘管外瘘口多位于(),内瘘口多位
·
下列那些检查对确定诊断颈动脉瘤有重要意义