多做题,通过考试没问题!
CT医师大型医用设备上岗证
睦霖题库
>
大型设备上岗证
>
CT医师大型医用设备上岗证
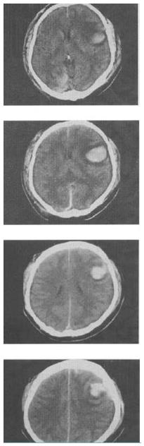
女,52岁,有高血压病史,半小时前突感头晕,剧烈头痛,CT检查如图,最可能的诊断为()。
A、脑梗死
B、脑出血
C、脑膜瘤
D、转移瘤
E、胶质瘤
正确答案:
B
答案解析:
有
进入题库查看解析
微信扫一扫手机做题
最热试题
·
颅脑试题3
·
颅脑试题1
·
颅脑试题4
·
颅脑试题5
·
泌尿、生殖系统试题1
·
五官和颈试题1
·
呼吸、循环系统试题9
·
腹部试题6
·
呼吸、循环系统试题2
·
颅脑试题2
最新试题
·
鉴别肾上腺腺瘤与嗜铬细胞瘤的主要依据是:()
·
子宫颈癌的MRI表现包括()。
·
女,36岁,左眼眶外上部可触及一无痛性包块有2年,眼球向内下方
·
患者,女,27岁,搏动性耳鸣,蓝色鼓膜,CT示鼓室有一0.8cm×0.6c
·
脊髓空洞症最确切的辅助诊断方法是()。
·
以下哪一项不是早期鼻咽癌的CT表现:()
·
胸部HRCT显示距胸膜2~3cm处外周部小叶内多发3mm大小"Y"及"V"字形
·
下列关于眶内脑膜瘤的影像特点,哪项说法错误()。
·
不属于CT伪影的是:()
·
患者,中年女性,右上腹隐痛半年,伴黄疸1个月,CT示肝内胆管轻度