多做题,通过考试没问题!
甘肃住院医师耳鼻咽喉科
睦霖题库
>
甘肃住院医师
>
甘肃住院医师耳鼻咽喉科
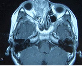
女,16岁,鼻塞、流涕一年余,失去嗅觉,影像检查如图所示,最可能的诊断是()。
A、鼻腔乳头状瘤
B、筛窦癌
C、恶性淋巴瘤
D、小唾液腺癌
E、嗅神经母细胞瘤
正确答案:
E
答案解析:
有
进入题库查看解析
微信扫一扫手机做题
最新试题
·
击出性骨折时疝入上颌窦的组织包括()。
·
对利特尔区的描述,错误的是()。
·
鼻咽部容积的变化与年龄呈()。
·
发现新生儿鼻腔内有表面光滑的肿物,首选(
·
与海绵窦无密切关系的结构是()。
·
新生儿出现呼吸困难,不能正常哺乳,应首先
·
急性鼻炎鼻塞时不正确强行擤鼻可引起()。
·
蛙形鼻
·
原发于上颌窦后外象限的肿瘤常侵犯()。
·
鼻腔填塞时间过久可引起()。
热门试题
·
上颌窦恶性肿瘤出现颞部隆起、头痛、耳痛,
·
鼻中隔穿孔最常见的部位在()。
·
治疗萎缩性鼻炎时应用复方薄荷油、清鱼肝油
·
对某一嗅素缺失时,在嗅谱图上可见()。
·
抗组胺药治疗变应性鼻炎只能减少鼻分泌物。
·
耳的炎症可()。
·
上颌窦恶性肿瘤的5年生存率为()。
·
鼻中隔的骨与软骨支架包括()。
·
球后视神经炎可有()。
·
过敏性鼻炎发作期鼻镜检查多见()。