试题预览
1、关于肺原发性淋巴瘤的诊断标准,错误的是()。
- A、影像学上显示肺、支气管受累,纵隔淋巴结肿大
- B、以前未发生过胸外淋巴瘤
- C、临床查体、实验室检查除外胸外淋巴瘤
- D、临床查体、实验室检查除外淋巴细胞性白血病
- E、发病后3个月,仍未出现胸外淋巴瘤征象
【正确答案-参考解析】:参加考试可见 点击进入查看
2、患者女,25岁,低热,乏力,微咳,有蛔虫史,胸片见两肺下部斑状阴影,经抗结核治疗1周阴影消失,但其他部位又出现类似阴影,最可能的诊断是()。
- A、过敏性肺炎
- B、支原体肺炎
- C、葡萄球菌肺炎
- D、肺结核
- E、真菌性肺炎
【正确答案-参考解析】:参加考试可见 点击进入查看
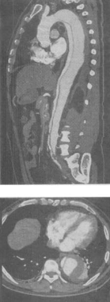
3、 患者,男,57岁,有冠心病史。突感胸背部剧痛,向腹部放射,行CT检查,如图,应诊断为()。 

- A、真性胸动脉瘤
- B、假性胸动脉瘤
- C、主动脉夹层DeBakeyⅠ型
- D、主动脉夹层DeBakeyⅡ型
- E、主动脉夹层DeBakeyⅢ型
【正确答案-参考解析】:参加考试可见 点击进入查看