多做题,通过考试没问题!
吉林住院医师耳鼻咽喉科
睦霖题库
>
吉林住院医师
>
吉林住院医师耳鼻咽喉科
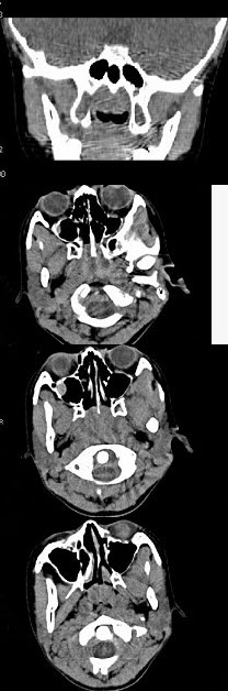
女,8岁,头痛,鼻塞半年余,CT如图所示,最可能诊断为()。
A、鼻咽癌
B、鼻咽部炎症
C、腺样体肥大
D、神经纤维瘤
E、咽后脓肿
正确答案:
C
答案解析:
有
进入题库查看解析
微信扫一扫手机做题
最新试题
·
鼻咽纤维血管瘤的主要治疗方法是()。
·
阻塞性睡眠呼吸暂停低通气综合征的病因包括
·
腺样体切除不宜施行的是()。
·
鼻咽癌的首选的治疗是()。
·
肥胖者易发生阻塞性睡眠呼吸暂停低通气综合
·
扁桃体切除术后继发性出血常发生于()。
·
咽旁脓肿可有()。
·
治疗结核性咽后脓肿的方法包括()。
·
急性咽炎的病理变化有()。
·
不属于咽的生理功能是()。
热门试题
·
鼻咽纤维血管瘤起源于枕骨底部、蝶骨体及翼
·
"腺样体面容"包括()。
·
致咽异感的是()。
·
急性腺样体病是儿童的常见疾病。()
·
腭垂腭咽成形手术是为了()。
·
通过咽旁隙后隙的重要结构包括()。
·
下列属急性咽炎并发症的有()。
·
金某,40岁,女性、颈部包块3个月,无其
·
咽旁隙前隙内通过的重要结构有()。
·
急性扁桃体炎引起全身各系统疾病的机制是(