多做题,通过考试没问题!

CT医师大型医用设备上岗证

睦霖题库>大型设备上岗证>CT医师大型医用设备上岗证

呼吸、循环系统试题7

  • 试卷价格:VIP独享
  • 年份:2019年
  • 类型:章节练习
  • 总分:60.00分
  • 总题数:60题
  • 作答:200分钟
试题预览
1、主动脉型心脏见于()。
  • A、引起左心室增大的疾病
  • B、主动脉病变
  • C、主动脉缩窄
  • D、高血压
  • E、以上都是
【正确答案-参考解析】:参加考试可见  点击进入查看
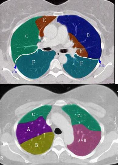
2、 结合肺段模式图,选出右肺中叶的组成()。
  • A、B
  • B、B+C
  • C、B+C+D
  • D、D+E
  • E、D+E+F
【正确答案-参考解析】:参加考试可见  点击进入查看
3、患者,男,46岁。发热、咳嗽5天,肺部可闻及湿啰音。CT检查示双下肺野内小片样阴影,沿支气管分布。最可能的CT诊断为()。
  • A、大叶性肺炎
  • B、真菌感染
  • C、干酪性肺炎
  • D、血性播散性肺结核
  • E、支气管肺炎
【正确答案-参考解析】:参加考试可见  点击进入查看
4、下列关于肺霉菌病的X线所见哪一项是不正确的()。
  • A、病灶中央可出现空洞,周边无明显炎性浸润,内无液平面
  • B、没有肋骨破坏、胸腔瘘管和皮肤真菌病
  • C、单侧或双侧肺内淡片状影,可有边缘不清的结节影,中下肺野多见病灶,发展迅速,数日内可融合成大片影
  • D、肺纹理明显增强,其周围可见斑点片状阴影,甚至支气管肺炎
  • E、胸膜常受累,导致胸膜炎、胸腔积液、胸膜增厚等
【正确答案-参考解析】:参加考试可见  点击进入查看
5、前纵隔最常见的肿瘤是()。
  • A、胸腺瘤
  • B、畸胎瘤
  • C、胸内甲状腺肿
  • D、淋巴管瘤
  • E、支气管囊肿
【正确答案-参考解析】:参加考试可见  点击进入查看