多做题,通过考试没问题!
甘肃住院医师急诊科
睦霖题库
>
甘肃住院医师
>
甘肃住院医师急诊科
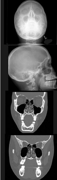
25岁女性,车祸伤及面部,X线及CT检查如图所示,下列哪些描述或诊断正确()
A、X线示左侧眶底较正常变低
B、CT发现左侧眶底骨质断裂
C、左侧上颌窦内见气-液面
D、考虑为左侧眶底骨折
E、左侧上颌窦积液
正确答案:
A,B,C,D,E
答案解析:
有
进入题库查看解析
微信扫一扫手机做题
最新试题
·
中鼻甲平面以下的严重鼻出血,鼻腔填塞无效
·
一患儿误吸入一异物,出现呼吸困难,胸部X
·
患儿女,12岁,双眼反复红痛、关节疼痛3
·
不会出现渗出性视网膜脱离的疾病是()
·
一位体胖的老年高血压病患者,鼻腔反复出血
·
在青光眼导致眼压升高的病理生理过程中,临
·
患者,男性,20岁,3天前开摩托车时发生
·
肿瘤局限于1个喉解剖分区内,分期为()
·
鼻腔、鼻窦不动纤毛综合征
·
下列不属于急性化脓性中耳炎的表现的是()
热门试题
·
患者,女性,60岁,双眼视力下降2年,检
·
鼻腔气流的层流
·
男性,32岁,4天前,用锤子敲打石头时右
·
患者,女性,52岁,右眼无痛性视力下降3
·
鼻出血时血管结扎法包括下列哪些?()
·
某患者,2个月前外伤后视力下降,检查发现
·
局部应用糖皮质激素治疗眼化学伤的原则是(
·
一男性患者,持续左耳流脓10年,检查示左
·
下图为一化脓性中耳炎患者鼓膜肉眼观,据此
·
青光眼滤过手术后两年失败率是多少()