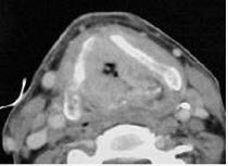
男,55岁,声嘶6年,有长期吸烟史。检查:无呼吸困难。喉镜检查:声带慢性充血,可见右侧声带可见菜花样新生物,右侧声带活动固定,喉部CT检查如下图:
最佳的治疗方案是()。
- A、间接喉镜下肿物切除
- B、生物治疗
- C、手术或放疗
- D、化疗
- E、手术加化疗
正确答案:C
答案解析:有

微信扫一扫手机做题
男,55岁,声嘶6年,有长期吸烟史。检查:无呼吸困难。喉镜检查:声带慢性充血,可见右侧声带可见菜花样新生物,右侧声带活动固定,喉部CT检查如下图:
最佳的治疗方案是()。

微信扫一扫手机做题