试题预览
2、CT诊断肺隔离症最有价值的征象是()。
- A、下叶后段不规则病灶,有分叶
- B、下叶后段类圆形病灶,病灶内有囊变
- C、下叶后段类圆形病灶,可见体循环供血
- D、下叶后段类圆形病灶,可见肺循环供血
- E、下叶后段不规则病灶,强化明显
【正确答案-参考解析】:参加考试可见 点击进入查看
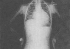
3、 患者男,8岁,易疲劳,活动后心悸、气急,结合X线检查,最可能的诊断是()。 

- A、房间隔缺损
- B、室间隔缺损
- C、肺动脉狭窄
- D、动脉导管未闭
- E、法洛四联症
【正确答案-参考解析】:参加考试可见 点击进入查看
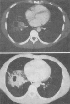
5、 患者男,64岁,患糖尿病,最近3天出现发热,伴颈静脉显露,结合CT图像,最可能的诊断是()。 

- A、坏死性纵隔炎
- B、纵隔淋巴瘤
- C、侵袭性胸腺瘤
- D、恶性畸胎瘤
- E、纵隔脓肿
【正确答案-参考解析】:参加考试可见 点击进入查看