多做题,通过考试没问题!
甘肃住院医师耳鼻咽喉科
睦霖题库
>
甘肃住院医师
>
甘肃住院医师耳鼻咽喉科
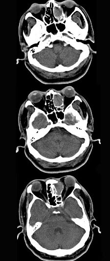
男,34岁,头痛、头晕3个月余,CT检查如图,最可能诊断为()。
A、筛窦癌
B、筛窦炎
C、筛窦息肉
D、筛窦乳头状瘤
E、筛窦黏液囊肿
正确答案:
E
答案解析:
有
进入题库查看解析
微信扫一扫手机做题
最新试题
·
鼻尖部发生疖肿时疼痛明显的原因是()。
·
鼻前庭炎
·
常年性变应性鼻炎常见的吸入性变应原有()
·
外鼻静脉描述有误的是()。
·
鼻腔上部的静脉可()。
·
鼻翼向外下与面颊部交界处的浅沟是()。
·
组成鼻腔后2/3假复层纤毛柱状上皮的细胞
·
引起鼻源性颅内并发症最少见的鼻窦是()。
·
Wegener肉芽肿型恶性肉芽肿的病理表
·
鼻及鼻窦内翻性乳头状瘤多次手术后易产生恶
热门试题
·
刺激下鼻甲中、后部引起反射性疼痛的部位是
·
眶壁骨膜下脓肿不影响下列哪种脑神经症状(
·
筛窦的内侧壁为()。
·
筛漏斗解剖结构不对的是()。
·
当钩突最上部向外侧延伸至纸样板时,额隐窝
·
筛窦骨折时常可出现()。
·
患者呼吸时发生吹哨声应考虑鼻中隔后段小穿
·
控制变应性鼻炎症状的主要局部用药是()。
·
全喉切除术后可引起()。
·
鼻部硬性乳头状瘤来自()。