多做题,通过考试没问题!
CT医师大型医用设备上岗证
睦霖题库
>
大型设备上岗证
>
CT医师大型医用设备上岗证
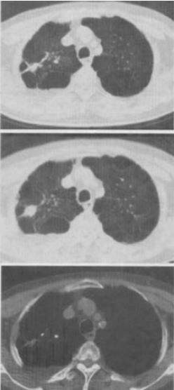
患者男,76岁,气喘数年,胸痛1个月余,结合图像,最可能的诊断是()。
A、右上肺结核球
B、肺间质纤维化
C、右上肺瘢痕癌
D、右上肺错构瘤
E、右上肺肉瘤
正确答案:
C
答案解析:
有
进入题库查看解析
微信扫一扫手机做题
最热试题
·
呼吸、循环系统试题4
·
脊柱试题2
·
颅脑试题6
·
呼吸、循环系统试题9
·
五官和颈试题3
·
颅脑试题1
·
四肢试题2
·
腹部试题5
·
颅脑试题4
·
物理基础和仪器设备试题1
最新试题
·
肺的功能基本单位是:()
·
石棉沉着症的CT征象中最常见者为:()
·
支持椎体血管瘤的CT影像表现是:()
·
关于实体型腹膜后脂肪肉瘤,哪项错误:()
·
关于子宫肌瘤CT表现的描述中,错误的是:()
·
强直性脊柱炎早期X线征象是:()
·
原发性纵隔肿瘤中最常见者为:()
·
卵巢癌最常见的CT表现是:()
·
肺实变在X线片中表现为片状云絮状影,边缘模糊,密度较高者是:(
·
中晚期直肠癌的CT表现的直接征象是:()