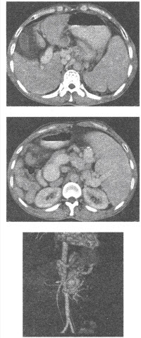
男,38岁。CT增强扫描示肝脏体积缩小,肝表面欠光整;肝裂增宽,肝叶比例失调,尾叶较大。肝实质密度不均。脾大。脾门及贲门周围可见团状软组织影,静脉期呈高密度,脾门及贲门周围团状软组织影应考虑为()
- A、副脾
- B、增大的淋巴结
- C、曲张的侧支循环血管
- D、肿瘤组织蔓延
- E、增大的胰尾
正确答案:C
答案解析:有

微信扫一扫手机做题
男,38岁。CT增强扫描示肝脏体积缩小,肝表面欠光整;肝裂增宽,肝叶比例失调,尾叶较大。肝实质密度不均。脾大。脾门及贲门周围可见团状软组织影,静脉期呈高密度,脾门及贲门周围团状软组织影应考虑为()

微信扫一扫手机做题