多做题,通过考试没问题!
山西住院医师放射科
睦霖题库
>
山西住院医师
>
山西住院医师放射科
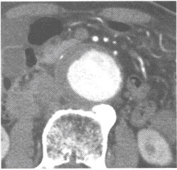
男性,70岁。行腹部CT增强扫描,发现腹主动脉异常如下图。
应诊断为()
A、主动脉血栓形成
B、主动脉硬化
C、主动脉瘤并附壁血栓
D、主动脉夹层动脉瘤
E、主动脉破裂
正确答案:
C
答案解析:
有
进入题库查看解析
微信扫一扫手机做题
最新试题
·
关于肾结核肾脏外形改变的描述,错误的是(
·
以下哪一项影像学表现有利于甲状腺癌诊断的
·
下列关于嗜铬细胞瘤的描述,错误的是()
·
男性,28岁,交通事故受伤,CT见肝脏裂
·
关于肝脏病变的描述,错误的是()
·
常累及骨质,有明显骨质增生的是()
·
女,36岁,左胸部疼痛不适5天,CT图像
·
“小膀胱征”多见于()
·
有关CT的临床应用中,错误的是()
·
目前,使用最多的CT图像后处理是()
热门试题
·
胰腺癌和胃癌最容易扩散至()
·
下列哪种方法是目前肾上腺疾病最佳影像检查
·
结肠癌最容易扩散至()
·
颅内血肿的CT值()
·
下面哪项与胸部扫描技术无关()。
·
男孩,2岁,双眼疼痛1年,右侧眼球突出。
·
在CT平扫中,视网膜母细胞瘤较具特征的影
·
女性,58岁。突感胸骨后疼痛来院就诊。行
·
男,58岁,上腹部剑突下胀痛3个月余,近
·
根据冠状动脉直径减少的百分数可推算出其面