多做题,通过考试没问题!
甘肃住院医师急诊科
睦霖题库
>
甘肃住院医师
>
甘肃住院医师急诊科
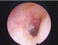
关于慢性化脓性中耳炎单纯型,其鼓膜外形如下图,以下描述哪项有误()
A、间歇性流脓
B、又称咽鼓管鼓室型
C、听小骨、鼓环等可发生坏死
D、炎症病变主要位于外耳道粘膜层
E、多有严重的传导性耳聋
正确答案:
C,D,E
答案解析:
有
进入题库查看解析
微信扫一扫手机做题
最新试题
·
眼铁质沉着症的确诊主要依赖()
·
鼻中隔脓肿的治疗()
·
我国人眼球突出正常平均值为(),两眼差不
·
视网膜上视觉最敏锐的部位是()
·
患儿女,12岁,双眼反复红痛、关节疼痛3
·
下列哪项符合慢性化脓性中耳炎骨疡型的临床
·
鼻腔后部及鼻咽部出血()
·
匐行性角膜溃疡的病原体()
·
减少角膜移植术后排斥反应的方法包括()
·
有关击出性骨折的处理,下列哪些是正确的?
热门试题
·
大疱性鼓膜炎的致病因素是()
·
分泌性中耳炎的病因包括( )
·
双眼低视力()
·
化学烧伤的程度与化学物质的哪些因素有关(
·
“视觉2020”行动对防治儿童盲采取的策
·
视觉神经冲动经三级神经元传递的顺序是()
·
急性闭角型青光眼急性大发作的对侧眼,眼压
·
早期化学性眼外伤适当的手术治疗是()
·
患者女,42岁,右眼眼红、眼痛伴视力下降
·
脑脊液来自蝶筛隐窝者,瘘孔在()