多做题,通过考试没问题!
河南住院医师放射肿瘤科
睦霖题库
>
河南住院医师
>
河南住院医师放射肿瘤科
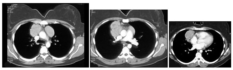
女,27岁,双侧颈部淋巴结肿大,PPD(-),结合CT图像,最可能的诊断是()
A、心包囊肿
B、淋巴瘤
C、淋巴结核
D、转移性淋巴结肿大
E、结节病
正确答案:
B
答案解析:
有
进入题库查看解析
微信扫一扫手机做题
最新试题
·
全小叶型肺气肿的典型CT表现是()
·
女,35岁,养鸽,咳嗽、咳痰,结合CT图
·
肺癌钙化形成的病理基础是()
·
空洞为主型的继发性肺结核CT征象为()
·
下述不引起肺血减少的疾病是()
·
男,28岁,外伤后1小时,胸部CT如图,
·
肺放线菌病的CT表现为下述哪些()
·
5岁男性,有不洁饮食史,自觉胸痛,气急,
·
周围型肺癌检查应首选( )
·
女,49岁,午后低热,咳嗽2月余,结合影
热门试题
·
男,68岁,胸闷、气逼1年余,加重1周,
·
下述支气管扩张的CT特点,错误的是()
·
CT发现侵袭性胸腺瘤侵犯纵隔脂肪,肿瘤为
·
CT在肺癌诊断中的价值是()
·
女,39岁,咳嗽伴轻微胸痛,CT检查如图
·
在肺不张内可见不规则钙化、空洞和支气管扩
·
男,30岁,偶尔干咳,结合图像,最可能的
·
肺内网状、蜂窝状阴影可见于下列哪些病变(
·
关于肺梗塞CT表现哪项不正确()
·
男,37岁,咳嗽,咯血2月余,偶尔咳出钙