多做题,通过考试没问题!
吉林住院医师耳鼻咽喉科
睦霖题库
>
吉林住院医师
>
吉林住院医师耳鼻咽喉科
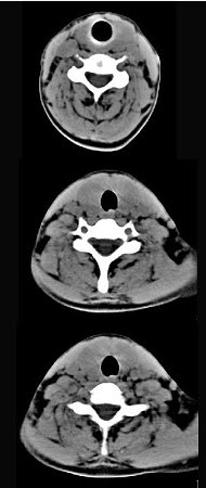
40岁,女性患者,双侧甲状腺肿大,CT扫描如图所示,请选择最佳答案()。
A、弥漫性甲状腺肿
B、甲状腺癌
C、甲状腺炎(桥本)
D、亚急性甲状腺炎
E、甲状腺瘤
正确答案:
C
答案解析:
有
进入题库查看解析
微信扫一扫手机做题
最新试题
·
颈动脉创伤性栓塞的临床症状包括()。
·
鳃裂瘘()。
·
颈部蜂窝织炎常由下列哪些细菌引起()。
·
颈清扫术应该遵循下列哪些原则()。
·
颈浅部炎症不包括()。
·
颈动脉体瘤的B超声像图特征是()。
·
若甲状舌管囊肿及瘘管术后复发,应选择的治
·
颈动脉鞘由哪组筋膜形成()。
·
病程7个月者多是()。
·
颈部最常见的先天性疾病是()。
热门试题
·
较易发生颈部淋巴结转移的恶性肿瘤有()。
·
某患者,右侧胸锁乳突肌前缘下端可见一瘘孔
·
甲状腺癌的B超声像图特征是()。
·
发生7年的颈部肿块一定是先天性颈部肿块。
·
对颈动脉体瘤的描述,正确的是()。
·
颈动脉创伤性栓塞最可靠的诊断方法是()。
·
临床上常作为辨认椎骨序数的标志是()。
·
气管闭合性创伤常伴有()。
·
B超检查可了解()。
·
支持颈部良性肿块的是()。