多做题,通过考试没问题!
CT医师大型医用设备上岗证
睦霖题库
>
大型设备上岗证
>
CT医师大型医用设备上岗证
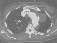
患者男,50岁,胸背剧痛1周余,CT如图,最可能的诊断是()。
A、主动脉弓真性动脉瘤
B、主动脉弓假性动脉瘤
C、主动脉弓夹层动脉瘤
D、左上肺癌并侵犯主动脉弓部
E、纵隔肿瘤
正确答案:
B
答案解析:
有
进入题库查看解析
微信扫一扫手机做题
最热试题
·
呼吸、循环系统试题9
·
胸部试题2
·
呼吸、循环系统试题4
·
物理基础和仪器设备试题2
·
腹部试题1
·
胸部试题4
·
四肢试题2
·
物理基础和仪器设备试题3
·
呼吸、循环系统试题1
·
颅脑试题5
最新试题
·
关于结节病与癌性淋巴管炎鉴别诊断,下列哪项不见于癌性淋巴管炎
·
下列关于嗜铬细胞瘤的描述,错误的是()。
·
有关前列腺的描述不当的是:()
·
半卵圆中心为:()
·
下列哪一种重建图像不是真正的三维重建图像:()
·
典型的肝脏海绵状血管瘤CT征象不包括:()
·
下列哪种疾病在非增强CT扫描上与灰质对比是高密度的:()
·
关于肺隔离症,下述哪项正确:()
·
颌面外伤CT检查最好选用:()
·
下列有关脑膜的描述中错误的是哪一项:()