多做题,通过考试没问题!
河南住院医师放射肿瘤科
睦霖题库
>
河南住院医师
>
河南住院医师放射肿瘤科
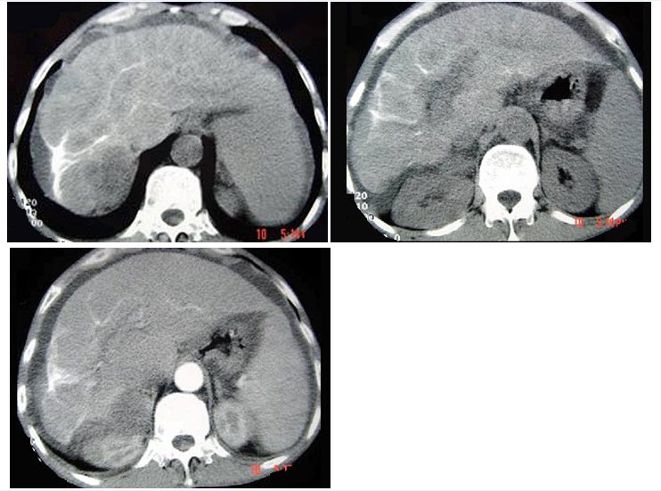
男,63岁,腹胀、双下肢浮肿、乏力、食欲不振,结合图像,最可能的诊断是()
A、酒精性肝硬化
B、血吸虫肝硬化
C、肝炎后肝硬化
D、局限性脂肪肝
E、原发性肝癌
正确答案:
B
答案解析:
有
进入题库查看解析
微信扫一扫手机做题
最新试题
·
Freeny的肝血管瘤CT诊断三条标准为
·
35岁,男,结合图像,最可能的诊断是()
·
女,36岁,肝区不适数月,CT检查如图,
·
男,33岁,腹部外伤后2月余,腹部疼痛,
·
男,58岁,上腹部剑突下胀痛3个月余,近
·
男,48岁,上腹部不适2月余,患者有华支
·
胰腺癌最好发于哪个部位()
·
根据所提供的图像,该病灶最好的分期为()
·
患者剧烈腹痛、腹胀,结合图像,最可能的诊
·
肝内胆管分支的直径正常应当为()
热门试题
·
女,54岁,左上腹痛,CT检查如图,最可
·
男,18岁,患者皮肤挫伤,用林可霉素预防
·
对于直肠癌术前CT检查时,哪种征象提示病
·
关于胰腺在CT图像上的识别标志,正确的为
·
肝癌在增强扫描的时间-密度曲线上特征性表
·
关于胆管细胞癌的说法,正确的是()
·
胆结石的CT表现有哪些()
·
正常肝脏平扫CT值为()
·
男性,28岁,交通事故受伤,CT见肝脏裂
·
有关肠梗阻的CT表现,正确的是()