多做题,通过考试没问题!

吉林住院医师耳鼻咽喉科

睦霖题库>吉林住院医师>吉林住院医师耳鼻咽喉科

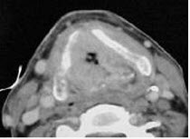
男,55岁,声嘶6年,有长期吸烟史。检查:无呼吸困难。喉镜检查:声带慢性充血,可见右侧声带可见菜花样新生物,右侧声带活动固定,喉部CT检查如下图: 患者术后第二天引流出乳白色液体约500ml,则要考虑()。

  • A、切口出血
  • B、切口感染
  • C、乳糜漏
  • D、气管切口漏气
  • E、正常现象
正确答案:C
答案解析:
进入题库查看解析

微信扫一扫手机做题