多做题,通过考试没问题!
CT医师大型医用设备上岗证
睦霖题库
>
大型设备上岗证
>
CT医师大型医用设备上岗证
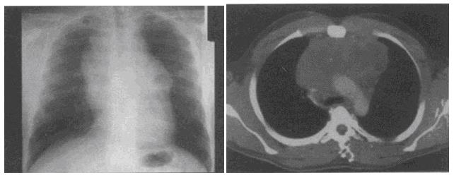
患者男,17岁,发现颈部肿块1个月,胸片检查、CT检查如图,最可能的诊断为()。
A、胸腺瘤
B、畸胎瘤
C、淋巴瘤
D、胸内甲状腺瘤
E、囊状淋巴管瘤
正确答案:
C
答案解析:
有
进入题库查看解析
微信扫一扫手机做题
最热试题
·
骨骼系统试题1
·
泌尿、生殖系统试题3
·
头颅和五官试题1
·
头颅和五官试题5
·
消化系统试题4
·
头颅和五官试题2
·
物理基础和仪器设备试题3
·
头颅和五官试题3
·
颅脑试题6
·
盆腔试题1
最新试题
·
常用CT图像的测试力法中不包括:()
·
胸膜下结节最可能是下列哪一种疾病的特点:()
·
患者,男,2个月。生后发现腹部肿块进行性增大2个月。静脉肾盂造
·
一定单位体积内骨组织有机成分正常,而钙盐含量减少,见于()。
·
膀胱最常见的良性肿瘤是()。
·
结肠癌最常见的转移方式是:()
·
下述纵隔内肿瘤中,可产生重症肌无力和上腔静脉阻塞症状的是:(
·
心包上隐窝与气管前淋巴结的鉴别要点不包括:()
·
前列腺增生与早期前列腺癌鉴别诊断最有价值的检查是()。
·
Albright综合征是指()。