多做题,通过考试没问题!
CT医师大型医用设备上岗证
睦霖题库
>
大型设备上岗证
>
CT医师大型医用设备上岗证
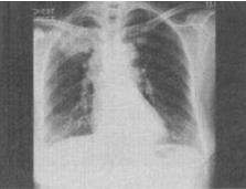
患者女,63岁,痰中带血2天,不咳嗽、发热,X线检查如图,最可能的诊断是()。
A、右上肺炎症
B、右上肺不张
C、右上肺癌
D、右上肺错构瘤
正确答案:
C
答案解析:
有
进入题库查看解析
微信扫一扫手机做题
最热试题
·
四肢试题1
·
盆腔试题2
·
物理基础和仪器设备试题3
·
呼吸、循环系统试题4
·
五官和颈试题3
·
颅脑试题4
·
颅脑试题3
·
腹部试题4
·
胸部试题6
·
盆腔试题1
最新试题
·
下列关于硬膜下血肿的CT表现,正确的叙述是:()
·
喉腔最狭窄的部位为:()
·
腰椎间盘突出症直接CT表现是:()
·
10岁,男性,体检发现右下肺有一3cm团块影,CT扫描,肿块为液性密
·
易出现脓胸或脓气胸的肺炎是:()
·
良性囊性腺瘤的CT表现不包括:()
·
脑梗死最常见的CT增强表现形式为:()
·
视神经各段中最长的部分是:()
·
关于胆管结石的CT表现,下列哪种说法是错误的:()
·
患者男性,28岁,交通事故受伤,CT见肝表面裂伤约2cm深,包膜下血