多做题,通过考试没问题!
天津住院医师耳鼻咽喉科
睦霖题库
>
天津住院医师
>
天津住院医师耳鼻咽喉科
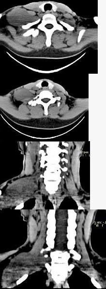
女,47岁,下颈部触及一包块约五年余,CT如图所示,最可能诊断为()。
A、滑膜肉瘤
B、血管瘤
C、神经鞘瘤
D、副神经节瘤
E、巨淋巴结增生症
正确答案:
C
答案解析:
有
进入题库查看解析
微信扫一扫手机做题
最新试题
·
鼻中隔偏曲可引起()。
·
梅尼埃病的基本病理改变是()。
·
骨性后鼻孔的组成包括()。
·
耳源性脑脓肿时,处理脓肿常用的方法有()
·
乳腺癌X线钼靶拍片的特征表现是()征,当
·
形成腹股沟管外环的是()。
·
患有不动纤毛综合征的患者常伴有的疾病是(
·
有关鼻咽纤维血管瘤的描述不对的是()。
·
不支持颈动脉瘤诊断的选项有()。
·
女性,69岁。有高血压史10余年,平时坚
热门试题
·
肥厚型梗阻性心肌病特点是()。
·
气管切开后皮下气肿的叙述正确的有()。
·
成人咽后结核性脓疡,病变位于咽后间隙。(
·
导致慢性咽炎的局部因素包括()。
·
隐性鼻咽癌可描述为()。
·
干酪性鼻炎鼻腔检查可见()。
·
有关通气储备,下列哪项是正确的()。
·
耳廓外伤后伴绿脓杆菌感染,最易形成()。
·
严重腹胀或腹水病人,手术时应重点注意()
·
喉囊肿可分为3型,即()、()和()。