多做题,通过考试没问题!
吉林住院医师耳鼻咽喉科
睦霖题库
>
吉林住院医师
>
吉林住院医师耳鼻咽喉科
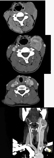
女,39岁,左颈部可扪及一肿块,无发热,无疼痛,CT如图所示,最可能的诊断是()。
A、颈部神经鞘瘤
B、颈动脉体瘤
C、颈部神经纤维瘤
D、颈部海绵状血管瘤
E、颈动脉瘤
正确答案:
B
答案解析:
有
进入题库查看解析
微信扫一扫手机做题
最新试题
·
下列属于舌骨上肌群的有()。
·
颈深淋巴结上群一般不收集哪一淋巴回流()
·
对颈部细胞学及病理学检查的描述,正确的是
·
颈部肿块细针穿刺的假阴性率约为30%,所
·
结节性甲状腺肿可为()。
·
临床上常作为辨认椎骨序数的标志是()。
·
下列哪些体征为诊断甲状舌管囊肿的依据()
·
甲状舌瘘()。
·
腮腺隙内包括下列哪些结构()。
·
颈淋巴结结核合并感染的表现是()。
热门试题
·
急性淋巴结炎应行()。
·
胸导管()。
·
腮腺鞘是由下面哪一层筋膜包裹而成()。
·
用于诊断颈动脉创伤性栓塞的方法包括()。
·
甲状舌管囊肿及瘘管()。
·
区域性颈清扫术主要用于()。
·
患者,男性,19岁,因颈部肿块2年余入院
·
惟一能明确诊断气管闭合性损伤的体征是()
·
颈动脉体瘤的B超声像图特征是()。
·
右侧胸腔器官的恶性肿瘤易转移到()。